Подросток, который попал в нужные руки

« картинки и свежие анекдоты | чат

Подросток, который попал в нужные руки

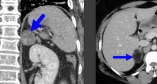
В свои 15 лет он весил больше 80 килограмм, постоянно болела голова, а любая попытка занять вертикальное положение приводила к скачку давления 200 на 120. Такие проблемы со здоровьем были связаны с образованием гигантской опухоли правого надпочечника. Гормоны, вырабатываемые ее, создавали нагрузку на сердце, постепенно истощая его.

  [продолжение]

Ещё интересное на этом сайте:

Россиянам начали массово блокировать выезд из России из-за электронных повесток
Российский пилот с самым опасным акцентом в мире дает понять чужому самолету, что он залетел не туда
Целые сутки в гигантской пробке стояли миллионы китайцев
США захотели запретить китайским авиакомпаниям летать над Россией
Нейросеть сгенерировала чемпионат по "тяжёлой атлетике"
Огненное ДТП в Бразилии
В России упростили процедуру тестирования для нескольких категорий детей мигрантов
Интересные и старинные предметы, которым уже сотни лет (18 фото)
Красивый розыгрыш в падел
Что такое токсичные друзья (3 фото)
Так и сезон можно закрыть
Порто Флавия – невероятный порт, вмурованный в скалу
Робот, который способен выполнять человеческие задачи
Рабочие нашли скрытые трубы и провода, хотя начальник уверял, что там пусто
Отец и дочь устроили уличный концерт с хитами Rammstein
Один из сотрудников ДНС решил присоединиться к погоне за вором самым эпичным образом
За справкой
Золотая осень в Домбае
Картинки со смыслом - 10.10.2025 (15 фото)
Трэш-истории
« все анекдоты и картинки
Рейтинг@Mail.ru